在国内的市场中,这几年随着国产超导磁共振1.5T的市场份额逐渐攀升,其技术水平也与国外逐步缩小差距,但在临床应用中我们依然存在着不足,在此小编特意为大家选出了典型的八家国产品牌厂商及产品简介,供大家了解(本篇只包含了四家,其余的四家,请大家详见今日推送的第一篇“【产品擂台】2015国产品牌主流超导磁共振1.5T产品大PK(上)”)希望大家根据自己的实际需求,投上自己意向。(请在文章最后投票,可多选)

公司简介:
东软医疗是是中国领先的医疗设备与服务供应商。公司成立于1998年,是国家数字化医学影像设备工程技术研究中心建设依托单位。公司以软件技术为核心,成功研制了具有中国自主知识产权的CT、磁共振、数字X线机、彩超、实验室自动化系统、放射治疗设备以及核医学成像设备等系列产品在全球销售,其中MR产品获得FDA、CE、CFDA,并销往包括美国、德国在内的全球100多个国家和地区。
官方网站:medical.neusoft.com
经典产品:NSM-S15P
临床图片赏析
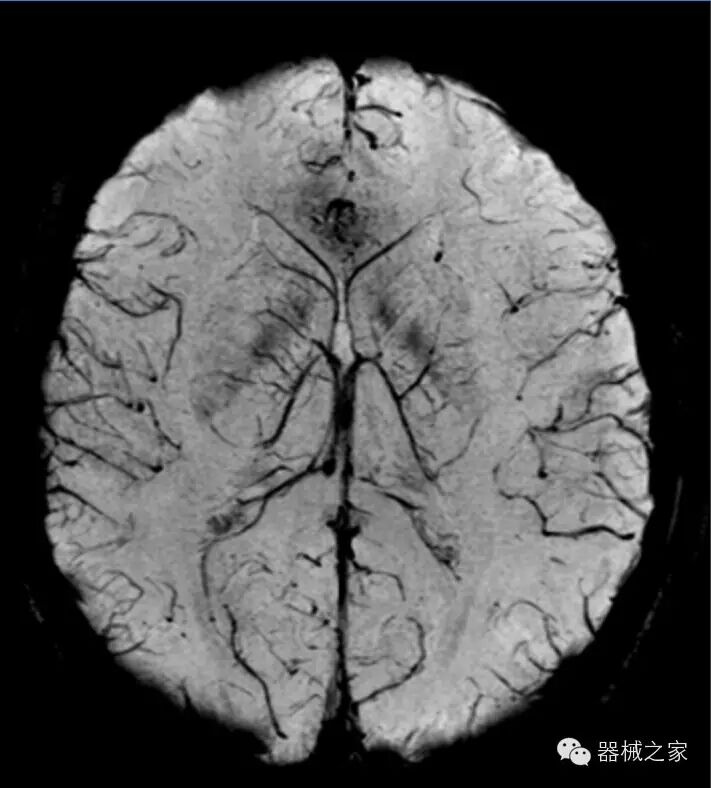
头部SWI
头部SWIM(定量分析)
腹部组图 T1WI(Out Phased)、T2WI(FS)、THRIVE、DWI

产品特点
·东软医疗于2009年研发成功中国第一台超导磁共振并获得CFDA的认证,NSM-S15P 1.5T超导磁共振系统是东软紧密围绕医院实际临床需求和科研需求而开发的一款全新产品。该产品以客户为中心设计理念,基于“Sirius天狼星”全新技术平台,具有完全自主知识产权的全数字谱仪和序列算法等核心技术,采用领先的SENSE、光纤等技术,实现了高清快速扫描,成就完美临床价值。
高清快速、全面覆盖临床应用需求
·ROKAR 2.0去运动伪影技术;
·SENSE全序列并行采集技术,加速因子4-8倍真实加速,大幅加快扫描速度;
·高清DWI,矩阵1024;
·70秒超快速头部扫描方案(T1、T2、FLAIR);
·2分钟颅脑MRA扫描方案(2分15秒);
·运动“冻结”成像;
·预置八大临床应用包——头、脊柱、骨骼肌肉、体部、血管、 心脏、乳腺、妇儿在内的全面临床应用软件包;
高级序列,有力支撑新兴科研应用
·SWI和SWIM,即磁敏感加权成像和定量分析;
·PWI灌注加权;
·fMRI脑功能成像;
·全身DWI;
创新设计,无与伦比舒适检查体验
·领先的梯度系统设计结合Softone降噪音技术,提供舒适检查环境;
·157cm太空超铝合金短腔磁体,实现黄金比例;
·4路并行激发结合360度环绕发射线圈,实现精准靶向激发;
·高磁场均匀度,实现50cm超大FOV;
·独立16通道高密度相控阵线圈配合光纤传输;
稳定可靠,绿色无忧超低成本运行
·冷头无需整体更换,降低全周期维护成本;
·全球近千台同型磁体装机检验,安全可靠;
“Sirius天狼星”超导磁共振影像云
·影像云平台助力高级专家会诊,解决疑难杂症,提高诊断水平;
·利用移动终端(手机/pad/笔记本电脑)完成影像处理及报告书写等功能;
CFDA注册证编号
·国械注准20093280413

公司简介:
深圳安科高技术股份有限公司成立于1986年,是中国医疗器械行业首家高新技术企业,是中国MRI领域的开拓者,有国家授予的企业博士后工作站和深圳市医学影像工程中心。产品涉及MRI、CT、DR、乳腺机、彩超、神外/骨科导航、脑立体定向仪、射频热凝仪、PACS及专业工作站、高压注射器等40余种产品。在安科,诞生了中国MRI、CT、彩超、PACS、胎儿监护仪及手术导航等多项第一,填补了国内多项空白。
深圳安科在磁共振产品研制方面积累了丰富的经验,在1989年生产出中国第一台永磁核磁共振成像系统,获得“国家科技进步二等奖”;在1992年研制出中国第1台超导磁共振(0.6T)成像系统,获得“国家科技进步三等奖”;在2011年又推出了中国第一台自主知识产权的超导1.5T磁共振成像系统; SuperMark1.5T是安科公司于2014年推出的全新的第三代超导磁共振成像系统。
官方网站:cn.anke.com
经典产品:SuperMark 1.5T
临床图片赏析
头部T2加权像
腹部反相位像
头部MRA成像

产品特点
·零液氦消耗,短腔超导磁体系统;
· 新一代全数字化、可扩展多通道谱仪;
·性能超强劲、高效高保真梯度系统;
·智能识别多通道相控阵射频接收线圈;
·全中文操作、高扩展性的计算机系统;
·高分辨率的常规临床影像;
·超实用的高级功能成像;
舒适、高效检查体验
·短腔(145cm)、宽开放(605mm)的磁体设计,提高患者检查的舒适度,患者更好地配合检查,提高图像质量;
·强劲的梯度性能(梯度场强为40mT/m、切换率为150T/m/s),结合A-GRAPPA和A-SENSE“双引擎”并行采集技术的应用,不仅大幅度缩减了检查时间,提高患者检查流通量,而且可以获得高分辨影像,提高诊断准确性;
· 集安科30年的序列优化及临床专家经验总结的内嵌式智能化扫描协议,无论初学者还是熟练者均可获得满意的扫描结果;
·提供高清弥散、ADC-Map、磁敏感及动态增强等超实用高级功能成像,全面满足客户需求;
安全、可靠的MRI系统
·超低液氦容量以及4K冷头液氦“零”消耗磁体系统,医院的运营维护成本低;
·安科独有的DIS数据保护系统,可全面保证患者数据安全和用户开机率;
·具备多重安全保护装置,如心电门控、呼吸门控、外周门控以及磁体和病人状态监视系统等,给患者提供无处不在的贴心关爱和保护;
· 设备装备有远程服务系统,第一时间处理现场问题;
CFDA注册证编号
·国械注准20143280395

公司简介:
万东医疗是中国医疗器械行业的骨干企业,是国际知名、国内领先的医学影像设备供应商,公司致力于为用户提供世界一流的医学影像解决方案。经过60年持续的技术研发和创新,万东形成从常规到高端的全体系化放射影像和磁共振成像设备各类解决方案,满足不同临床需求,积累了庞大的用户群。研发实力国内领先,公司不仅建有先进的实验室还与国内高校广泛研发合作,完成X射线领域和磁共振领域全部核心部件的自主研发,产品出口世界70多个国家和地区,建立了覆盖全国辐射全球的销售服务网络,在全国建有110余家特约维修服务中心,可为用户提供及时可靠的专业服务。目前公司与阿里云携手打造的“万里云”平台,旨在远程为基层医院解决诸多临床协同诊断问题。
官方网站:www.wandong.com.cn
经典产品:i_Magnate 1.5T

临床图片赏析
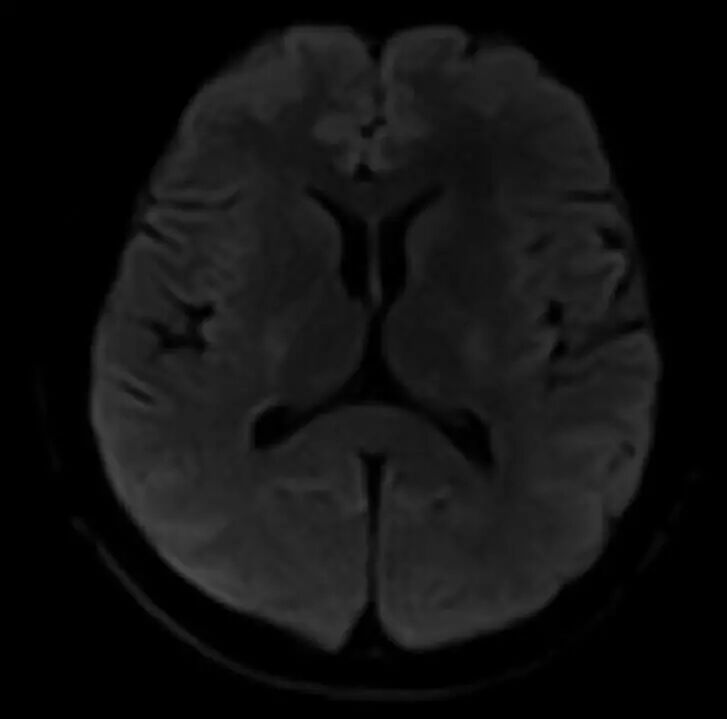
脑部弥散
MRCP
脑部血管
产品特点
·国内首家光纤超导,高品质助力清晰诊断。;
·采用世界先进的数字光纤传输技术和8-32通道并行采集技术,保证精准快速的图像信息;
配备大孔径超短磁体,提供舒适友善的空间感受;
结合Ipad移动扫描控制和“影奕”数字影像处理平台,带来智能高效的操作感受;
临床应用
·可完成常规成像,高清弥散,动态增强,螺旋采集,腹部自由呼吸、磁敏感成像(SWI)等功能,能够满足各级医疗机构的临床需求;
·业内首创的超快速回波成像(μTE)功能,可实现对骨骼的磁共振成像;
主要性能
·快速 8-32通道并行采集,扫描速度更快 ;
·舒适 1000mm超短腔开放式设计,体验更舒适;
·环保 0液氦消耗,环保更经济;
·智能 IPAD(IPHONE)移动控制,智能更人性;
·便捷 网络化远程技术服务,服务更便捷 ;
·配备“影奕”智能平台,整合高效工作流程;
人性化
·短腔磁体,减小病人的幽闭感,提高检查舒适性;
·陪伴式扫描,医生可在扫描间内的任意位置完成扫描的全部过程,对儿童等特殊检查人群,能大幅提高检查成功率;
CFDA注册证编号
·国械注准20133280550

公司简介:
贝斯达医疗成立于2000年,总部坐落于改革开放的前沿城市--深圳,是一家集医学影像与放射治疗产品的研发、制造、销售和服务为一体的首批国家级高新技术企业。
贝斯达医疗致力于高端影像研发中心、工程技术研发中心,核心技术创新平台、医疗装备产业化平台、客户贴心服务平台的两个中心、三个平台的全方位建设。
官方网站:www.basda.com.cn
经典产品:Bstar-150
产品特点
·全数字化;
·相控阵线圈;
·丰富的扫描序列;
·高级成像技术和临床应用;
·极低的液氦消耗;
CFDA注册证编号
·国械注准20123281225
|